PET検査
PET検査について
PET(Positron Emission Tomography)は、陽電子(放射線の一種)の体内分布を画像化する技術のことで、画像診断法の一つです。PET検査は放射性薬剤を使用する核医学検査の一種です。がんの診断や治療効果判定、再発の確認などに非常に有効です。従来のCTやMRIなどの体の構造を見る検査とは異なり細胞の活動状況を画像で確認することができます。また、従来の検査ではガンが1cm~1.5cm程度の大きさになるまで発見することができませんでしたがPET検査ではそれらの機器と比べて約10倍の検出能力があると言われています。
当院導入のPET装置はCT搭載型のPET/CT装置です。PET画像はCT画像と重ね合わせることで診断能が飛躍的に高くなります。PET検査で最も広く用いられているのはグルコース(ブドウ糖)の代謝を利用するFDG-PETです。がん細胞は増殖するのにブドウ糖をエネルギーとし、正常細胞の3~8倍ブドウ糖を消費して増殖していきます。したがって、体内に取り込まれたブドウ糖は正常細胞に比べてがん細胞へより多くあつまる特性があり、異常集積像として描出されます。
特に、肺がん・乳がん・悪性リンパ腫・悪性黒色腫などの腫瘍の検出や転移診断などに有用とされています。
PET/CT検査の特徴
- 従来検査では発見が難しかった小さながん病変も発見できる可能性が高いため早期発見につながります
- 一度の撮影でほぼ全身を撮影できます
- PET画像にCT画像を重ね合わせることで、より正確な病変部位の同定が可能です
- 治療前に病気の広がりや部位を確認することで適切な治療方法の選択へつながります
- 患者さんは約20分程度横になっていただくだけの負担の少ない検査です
FDG-PET/CT検査の保険適用
- てんかん:外科治療のための病巣診断
- 虚血性心疾患における心不全:バイパス手術検討のための心筋バイアビリティ診断
- 心サルコイドーシスの診断
- 早期胃がんを除く、すべての悪性腫瘍、悪性リンパ腫:他の画像診断により病期診断、転移、再発診断ができない時
- 大型血管炎
当院PET/CT装置の特徴
TOF搭載型 半導体PET/CT装置 Biograph Vision

空間分解能(画質)
- LSOクリスタルサイズ 【3.2×3.2cm】
- 画像再構成matrix 【256×256 ⇒ 最大880×880】
SiPM

実行感度(撮影効率)
- 最新型半導体検出器(SiPM採用)
- 100%カバレッジ構造
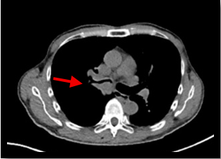
FDG-PET/CT検査画像
肺がん原発巣の症例。(病変部は赤矢印)




CT画像→病変部がわかりにくい
PET画像 → 解剖部位がわかりにくい
PET画像とCT画像を重ね合わせることで、病変が存在する解剖部位が分かるため診断能が高くなる
PET検査症例

PET撮像施設認証(Ⅰ)取得
当院はPET撮像施設認証取得施設となっております。こちらは認定協会が定めた、適切な検査内容と画像の品質管理など幾多の厳しい項目を合格した施設に付与される認証です。
当院は本認証を取得しているため、アルツハイマー型認知症の原因とされているアミロイドβの脳内沈着を調べるアミロイドPET検査も実施可能です。





