くも膜下出血
くも膜下出血(クモ膜下出血)とは
くも膜下出血(くもまくかしゅっけつ、クモ膜下出血)とは、脳出血(頭蓋内出血)の一種で脳を覆うくも膜と脳の間に出血が起きる状態を呼びます。発生頻度は比較的低い病気ですが、ひとたび発症すると死に至る確率も高く、助かった場合も重篤な後遺症が残る可能性が高いとされています。原因はほとんどの場合、脳の動脈にできたこぶ(脳動脈瘤)の破裂によるものです。

症状
以下の症状が突然、急に現れます
- 経験したことのない激しい頭痛
- 嘔吐
- 意識を失う
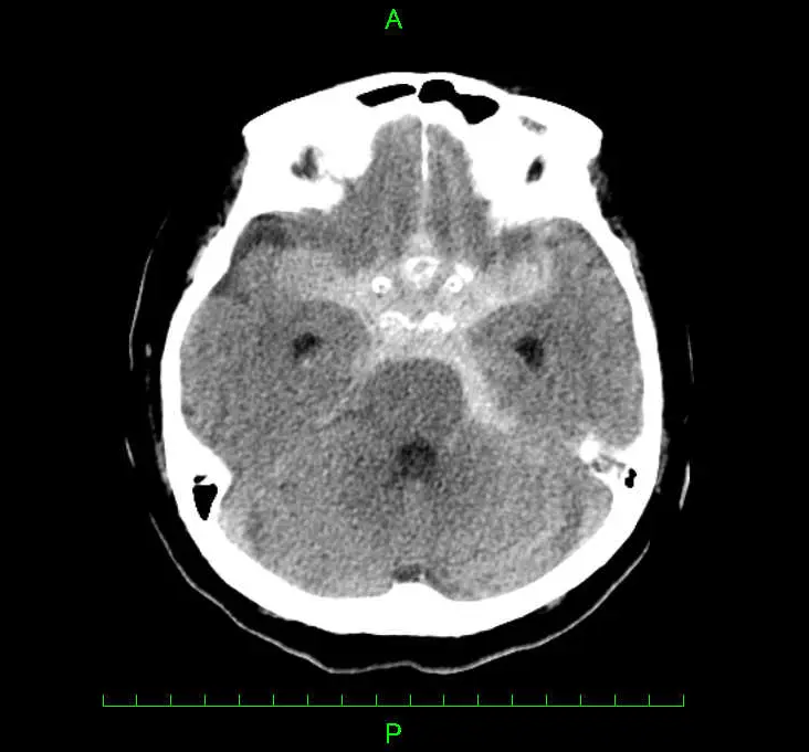
検査
頭部CT検査を用います。CTでくも膜下出血と診断された場合は、原因の特定等を目的に造影検査やMRI検査などを行います。

治療
脳動脈瘤コイル塞栓術(脳血管内治療)
カテーテルと呼ばれる細い管を血管内に挿入し、破裂箇所まで運びます。その後に、カテーテルを通じてプラチナで出来た細いコイル(糸状の金属)を破裂した瘤につめることで血流が流れ込む隙間をなくします。開頭の必要がないため、より低侵襲といえます。
脳動脈瘤コイル塞栓術の治療例

WEB(Woven Endo Bridge)治療
WEB(Woven Endo Bridge)は目の細かい形状記憶合金のメッシュを使用した袋状のデバイスで、カテーテルを通じて破裂した脳動脈瘤内に留置し、血流を遮断します。治療の難易度が高いとされている、血管の分岐部にできるワイドネック型(瘤の入り口部分が広い)脳動脈瘤に使用されます。
Woven EndoBridgeデバイス
留置イメージ
脳動脈瘤クリッピング術
破裂した脳動脈瘤の根元の部分に金属製のクリップを掛けて血流を遮断する手術です。開頭を伴うため、カテーテルによる脳血管内治療と比較すると侵襲度の高い手技となりますが、血腫を直接取り除くことができるなど優れた点もあり、当院では患者様の病態により慎重に検討のうえ治療選択を行っています。
脳動脈瘤クリッピング術の治療例

当科のくも膜下出血(脳卒中)治療の特長
当科のくも膜下出血(脳卒中)治療の特長は以下の通りです
- 国内最大規模となる26床のSCU(脳卒中集中治療室)にて専門的な治療、ケアを実施しています
- 24時間365日、常に医師が常駐し、いつでも手術を含む緊急対応が可能な体制をとっています
- MSN(松戸脳卒中ネットワーク)の中核病院として地域の他施設や救急隊と連携をとった脳卒中対応を行っています
- 脳血管内治療と開頭手術のいずれにも対応が可能で、各々の患者様にとって最良の治療をご提供可能です
- 各種低侵襲治療(身体に優しい治療)を積極的に取り入れています
- 日本脳卒中学会より一次脳卒中センター(PSC)の認定を受けた施設です
お問い合わせ
患者様
当院脳神経外科外来にお越しください。
| 脳神経外科外来 | 月曜日~土曜日(祝日除く) |
|---|
現在、くも膜下出血を疑う症状が出ている方はすぐに119番に電話して救急車を呼んでください!
他施設の方(患者様のご紹介ほか)
地域連携室までご連絡ください。
047-384-8564
月~金曜日 8:30-17:00/土曜日 8:30-12:30
この記事を書いた医師

熊井 潤一郎(くまい じゅんいちろう)
千葉西総合病院 副院長
脳神経外科主任部長




