食道胃接合部がん
食道胃接合部がんとは
食道胃接合部がん(しょくどういせつごうぶがん)とは食道と胃の境目付近に発生するがんの呼称です。食事の欧米化に伴い、日本において近年増加傾向にあります。胃がんと食道がんの両方の特徴を併せ持ち、集学的な治療が必要となることもあり、独立したひとつのがん種として扱います。
食道胃接合部

症状
初期症状
- 飲み物が胸にしみる
一定程度進行すると出る症状
- 食べ物がつかえる
- 胸焼け、胃がもたれる
- 胸部・背部痛
- 声のかすれ
- 血痰・息苦しさ
検査
胃カメラを挿入して直接観察する内視鏡検査が行われます。進行度を判断するための検査では、造影CT検査、MRI検査、PET検査などを組み合わせて、がんの深さやリンパ節および周辺臓器への転移がないかを診断します。また、補助的に血液中の腫瘍マーカーの値を見る検査も行います。
内視鏡(胃カメラ)画像
PET/CT画像

治療
がんの切除が可能な場合は内視鏡治療(胃カメラによる切除)か外科手術となります。がんが粘膜内にとどまっている早期の段階であれば内視鏡治療が適応となります。より進行した場合は外科的手術を行います。化学療法(抗がん剤治療)は補助的に用いられます。食道胃接合部は横隔膜に囲まれて手術操作がしにくい奥まった場所にあるため、一般的に難易度の高い手術であると言われています。
内視鏡的切除
口から挿入したスコープ(カメラ)でがんのある部位を切除します。おなかを切ることがないため、術後の痛みがほぼなく、入院期間も短かく済みます。がんが粘膜内にとどまっている場合のみ適応があり、それよりも進行している場合は手術をはじめとした他の治療が行われます。

手術による切除
がんのある部位を切除して繋ぐ(吻合)手術です。腹腔鏡手術が主流となっています。昨今では、手術支援ロボットを使用するロボット支援手術(ロボット手術)も実施されています。がんの部位や進行度、浸潤の範囲などにより、様々な術式が用いられますが、がんの根治(がんをとりきる)を前提としたうえで、なるべく患者様の身体に負担が軽い手術が行われます。
主な食道胃接合部切除術式

手術支援ロボット Davinci Xi(ダヴィンチXi)

術中画像


化学療法
化学療法のみでの根治は難しく、次にあげる目的で実施されます。
- 術後補助化学療法:術後の再発を防ぐ目的で行います
- 術前化学療法:手術でがんが取り切れる可能性を高める、微細な転移がんの縮小などを目的として行われる場合があります
- 切除できない場合の化学療法:広がりが大きく手術ではがんをとりきることが難しい場合や再発がんに対して行います。
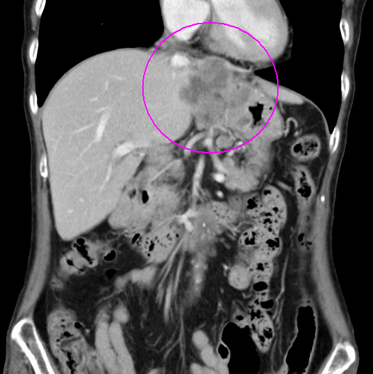
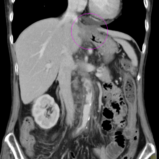
術前化学療法の例(造影CT画像)
治療前
治療後
免疫療法
免疫チェックポイント阻害薬ニボルマブ(製品名:オプジーボ)を用いた治療が行われる場合があります。
当科の食道胃接合部がん治療の特長
1.専門医によるチーム医療
がんセンター出身の経験豊富な医師がチームを組んで治療を担当しています。
2.専門資格保有医師による対応
日本内視鏡外科学会の技術認定を取得した医師による診療を行います。
3.ロボット支援手術
ほぼ全例を体への負担が軽い腹腔鏡手術またはロボット支援手術(ロボット手術)にて治療を行っています。
4.身体にやさしい再建手術
切除後の再建法として食べ物の逆流を防止出来て、胃を残せる食道残胃吻合法を採用しています。
5.難しい症例にも慎重かつ積極的に対応
当院は心臓病患者様の診療を数多く行っているため血液サラサラのお薬を飲んでいる方が数多くおいでです。また、ご高齢な方も多く、そうした患者様に対する手術の経験を豊富に有しています。施設によっては手術が難しいと判断される症例でも、慎重な検討を加えたうえで、できる限り積極的な治療を行っています。
担当医師

小林 亮介 外科医長
日本外科学会 専門医
日本肝胆膵外科学会 高度技能専門医・評議員
日本消化器外科学会 専門医・指導医・消化器がん外科治療認定医
日本消化器内視鏡学会 専門医・指導医
日本食道学会 食道科認定医
日本膵臓学会 指導医
日本内視鏡外科学会 技術認定証(消化器・一般外科)
日本がん治療認定医機構 認定医

山崎 信義 外科副部長
日本外科学会 専門医・指導医
日本消化器外科学会 専門医・指導医・消化器がん外科治療認定医
日本大腸肛門病学会 専門医・指導医
日本消化器内視鏡学会 専門医
日本消化器病学会 専門医・指導医
日本消化管学会 胃腸科専門医
日本内視鏡外科学会 技術認定証(消化器・一般外科)
日本消化器がん検診学会 認定医
日本ストーマ・排泄リハビリテーション学会 ストーマ認定医
日本ロボット外科学会 Robo-Doc Pilot認定 国内B級
日本がん治療認定医機構 認定医
医学博士

佐藤 学 外科医師
日本外科学会 専門医・指導医
日本消化器外科学会 専門医・指導医
日本消化器病学会 専門医・指導医
日本がん治療認定医機構 認定医
日本腹部救急医学会 認定医
検診マンモグラフィ読影認定医

浅井 大智 外科医師
日本外科学会 専門医
da Vinci Surgical System 助手認定取得
日本DMAT隊員資格
お問い合わせ
患者様
当院外科外来にお越しください。
| 外科外来 | 月曜日~土曜日(祝日除く) |
|---|
他施設の方(患者様のご紹介ほか)
地域連携室までご連絡ください。
047-384-8564
月~金曜日 8:30-17:00/土曜日 8:30-12:30




