MRI検査
目次
使用機器
3.0T装置2台、1.5T装置1台の計3台体制で運用しています。



検査・治療内容
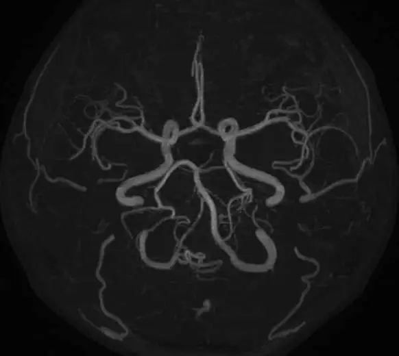
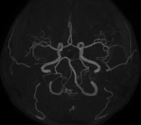
- 頭頸部領域、脳潅流イメージング(ASL)など
- 椎体、四肢等の整形領域
- 膀胱前立腺、子宮卵巣など骨盤領域
- 膵臓、肝臓など腹部領域
- 大動脈、下肢MRA
- 乳腺MRI
- 全身DWIBS
- 心臓MRI
特徴
SmartSpeedは検査時間の大幅短縮と高画質化を同時に実現し、緊急検査への迅速な対応が可能です。


また、呼吸指示を必要とする検査では息止め時間の短縮により高齢者や重篤な患者様の身体的負担を軽減し、時間延長を伴わない高分解能撮像により診断精度の向上を図っています。
特に1.5T装置では、寝台上の快適性向上、検査進行ガイダンス、静音化と画質のバランスの最適化、さらに映像システムにより患者様がお好みの照明・音楽・映像を選択しながら検査進行状況や息止め指示を確認できるIn-bore Experienceを備えています。これらのシステムにより動きや中断による再撮像を削減し、鎮静管理の必要性を解消することで、患者様のストレス軽減と検査精度向上を図り、より安全で快適な検査環境を提供しています。






