大腸がん
大腸がんとは
大腸がん(だいちょうがん)とは大腸(結腸、直腸)に発生するがんのこと。胃がんや食道がんと同様で表面の粘膜から発生します。良性のポリープががんになる場合が多いとされていますが、粘膜の正常な細胞が直接がん化することもあります。日本では罹患率、死亡率ともに高いがんで、発生部位別のがん死亡者数で女性では第1位、男性では第2位となっています*。 *厚生労働省「2022年人口動態統計(確定数)

症状
早期の段階では自覚症状はほぼありません。進行すると次のような症状が現れる方がいます。
代表的な症状
- 便に血が混じる(血便)
- 便秘や下痢
- 便が出切っていない感じ(残便感)がある
- 腹痛
- おなかが張る、鳴る
- 体重減少
- 貧血
検査
大腸がんの検査としては次のようなものがあります。
一次健診
便潜血反応検査
確定診断
大腸内視鏡検査(大腸カメラ)

がんのある部位や大きさ、広がりを調べるための検査
注腸造影検査
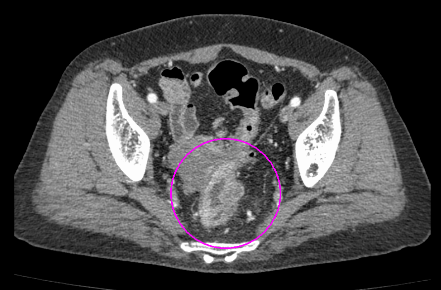
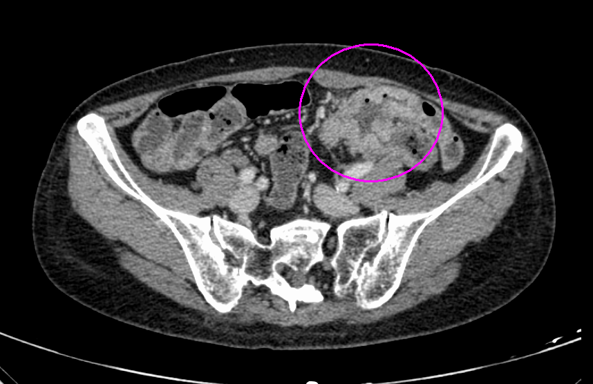
CT検査
MRI検査
CT検査画像
注腸造影検査画像

Guardant Reveal(ガーダントリビール)
「Guardant Reveal」は体内にがん細胞が存在する場合にのみ血液中に流れ出るctDNA(腫瘍由来の循環DNA)を検出する検査です。ctDNAが検出された場合は再発リスクが高い可能性があると推定ができるため、より適切な治療選択のための参考となります。「Guardant Reveal」は血液を検体とするリキッドバイオプシー検査ですので、患者さまの負担は採血のみと低侵襲です。
治療
がんの切除が可能な場合は内視鏡治療(大腸カメラによる切除)か外科手術となります。がんが粘膜内にとどまっている早期の段階であれば内視鏡治療が適応となります。より進行した場合は外科的手術を行います。さらに術前、術後の化学療法(抗がん剤治療)や放射線治療を実施する場合があります。
内視鏡的切除
肛門から挿入したスコープ(カメラ)でがんのある部位を切除します。おなかを切ることがないため、術後の痛みがほぼなく、入院期間も短かく済みます。がんが粘膜内にとどまっている場合のみ適応があり、それよりも進行している場合は手術をはじめとした他の治療が行われます。

手術による切除
がんのある部位を切除して繋ぐ(吻合)手術です。以前は腹腔鏡手術が主として行われていましたが、近年は手術支援ロボットを使用するロボット支援手術(ロボット手術)が主流となっています。がんの部位や進行度、周囲の臓器への浸潤があるかなどにより、様々な術式が用いられますが、がんの根治(がんをとりきる)を前提としたうえで、なるべく患者様の身体に負担が軽い手術が行われます。
手術支援ロボット daVinci Xi(ダビンチXi)


ICG(インドシアニングリーン)蛍光法
当院ではICG(インドシアニングリーン)と呼ばれる特殊な薬剤を使用する手術を実施しています。ICGは血液中のタンパク質と結合する性質があり、特別なカメラを通して見ると緑色に光ります。肉眼では見えにくい情報を可視化することで、より正確に腫瘍やリンパ節の位置または範囲を確認し、精緻で確実な手術を実施しています。これにより合併症リスクの低減や、一層の低侵襲化を図っています。
ICGによる蛍光発色の様子
化学療法
化学療法のみでの根治は難しく、次にあげる目的で実施されます。
- 術後補助化学療法:術後の再発を防ぐ目的で行います
- 切除できない場合の化学療法:広がりが大きく手術ではがんをとりきることが難しい場合に行います。がんを小さくして手術をできるようにする目的で実施されることもあります。
TNT療法(Total neoadjuvant therapy)
放射線治療と全身化学療法を術前に行う治療法です。昨今、下部直腸がんに対して世界的に広く行われるようになってきた治療法で、患者様ごとに差異はありますが、ある一定割合で肉眼でがんが消失した状態となるなど高い治療効果が得られると言われています。TNTを行ったうえで手術による切除を行うなど、集学的治療戦略のひとつとして行われます。
大腸がんに対してTNT療法を行った例
治療前
治療後
免疫療法
MSI-Highの場合に免疫チェックポイント阻害薬を用いた治療が行われます。
高頻度マイクロサテライト不安定性(MSI-High)とは | おしえてがんゲノム医療(中外製薬株式会社)
放射線治療
補助放射線治療:術後の再発を防ぐ目的で行います。
緩和的放射線治療:がんによる痛みやがんからの出血、便通障害や、骨への転移を起こした場合の痛み、骨折の予防などを目的として行います。
閉塞性大腸がんに対する大腸ステント治療
大腸がんが進行し腸が詰まってしまう閉塞性大腸がん(大腸がん腸閉塞)に対する治療です。従来は人工肛門を造設して対処していましたが、人工肛門はケアの負担やにおいに対する不安などからQOL(生活の質)低下が避けられません。そのため当院ではステントと言われるメッシュ構造の金属製の網を用いて詰まりを解消し、人工肛門を回避する治療を行っています。大腸ステント治療は緩和治療を目的に行う場合と根治手術前に全身状態の回復を目的として行う場合があります。
治療前
ステント留置後(内視鏡画像)
ステント留置後(レントゲン画像)
当院の治療成績(生存率)

各病期において、全国平均に比して良好な成績を得ております。
参考:院内がん登録生存率集計結果閲覧システム | 大腸がん5年生存率 がん情報サービス ganjoho.jp
当科の大腸がん治療の特長
1.専門医によるチーム医療
がんセンター出身の経験豊富な医師がチームを組んで治療を担当しています。
2.ロボット支援手術
直腸がんのほぼ全例でロボット支援手術(ロボット手術)による治療を行っています。直腸がん手術は狭い骨盤内での手術操作が発生することがあり、アームに関節構造を持ち、手振れを排除した正確な手技が行えるロボット手術が優位と言われています。
3.保険適用で広がるロボット手術
2022年度の保険収載を受け、結腸がん手術もロボット支援手術(ロボット手術)への移行を進めています。
4.3大がん治療が揃う充実した施設
当院はがんの3大治療(手術療法、薬物療法、放射線治療)がすべて行える施設です。
5.難しい症例にも慎重かつ積極的に対応
当院は心臓病患者様の診療を数多く行っているため血液サラサラのお薬を飲んでいる方が数多くおいでです。また、ご高齢な方も多く、そうした患者様に対する手術の経験を豊富に有しています。施設によっては手術が難しいと判断される症例でも、慎重な検討を加えたうえで、できる限り積極的な治療を行っています。
担当医師

小林 昭広 外科部長
日本外科学会 専門医・指導医
日本消化器外科学会 専門医・指導医・消化器がん外科治療認定医
日本大腸肛門病学会 専門医・指導医
日本内視鏡外科学会 技術認定証(消化器・一般外科)・評議員
日本内視鏡外科学会 ロボット支援手術プロクター認定(消化器・一般外科)
日本ロボット外科学会 Robo-Doc Pilot認定 国内A級

森本 喜博 外科副部長
日本肝胆膵外科学会 高度技能専門医・評議員
日本外科学会 専門医
日本消化器外科学会 専門医・消化器がん外科治療認定医
日本消化器病学会 専門医
日本肝胆膵外科学会 評議員
日本がん治療認定医機構 認定医
日本腹部救急医学会 認定医
日本ロボット外科学会 Robo-Doc Pilot認定 国内B級
日本肝胆膵外科学会 ロボット支援肝部分切除及び外側区域切除プロクター
欧州内視鏡外科学会(EAES)会員

山崎 信義 外科副部長
日本外科学会 専門医・指導医
日本消化器外科学会 専門医・指導医・消化器がん外科治療認定医
日本大腸肛門病学会 専門医・指導医
日本消化器内視鏡学会 専門医
日本消化器病学会 専門医・指導医
日本消化管学会 胃腸科専門医
日本内視鏡外科学会 技術認定証(消化器・一般外科)
日本消化器がん検診学会 認定医
日本ストーマ・排泄リハビリテーション学会 ストーマ認定医
日本ロボット外科学会 Robo-Doc Pilot認定 国内B級
日本がん治療認定医機構 認定医
医学博士

小林 亮介 外科医長
日本外科学会 専門医
日本肝胆膵外科学会 高度技能専門医・評議員
日本消化器外科学会 専門医・指導医・消化器がん外科治療認定医
日本消化器内視鏡学会 専門医・指導医
日本食道学会 食道科認定医
日本膵臓学会 指導医
日本内視鏡外科学会 技術認定証(消化器・一般外科)
日本がん治療認定医機構 認定医

佐藤 学 外科医師
日本外科学会 専門医・指導医
日本消化器外科学会 専門医・指導医
日本消化器病学会 専門医・指導医
日本がん治療認定医機構 認定医
日本腹部救急医学会 認定医
検診マンモグラフィ読影認定医

浅井 大智 外科医師
日本外科学会 専門医
da Vinci Surgical System 助手認定取得
日本DMAT隊員資格
お問い合わせ
患者様
当院外科外来にお越しください。
| 外科外来 | 月曜日~土曜日(祝日除く) |
|---|
他施設の方(患者様のご紹介ほか)
地域連携室までご連絡ください。
047-384-8564
月~金曜日 8:30-17:00/土曜日 8:30-12:30




