胆のうがん
胆のうがんとは
胆のうがん(たんのうがん)とは肝臓で作られた胆汁を一時的にためる袋である胆のう(胆嚢)に発生するがんの呼称です。がん統計などでは胆管がんと併せて胆道がんとして扱われます。自覚症状に乏しく、周囲に重要な臓器が多く存在するため、比較的治療が困難ながんであると言われています。

症状
- 右わき腹の痛み
- 黄疸(白目や皮膚が黄色味を帯びる、濃い色の尿が出る)
- 体重減少
検査
胆のうがんの検査としては次のようなものがあります。
- 血液検査
- 腹部超音波検査
- CT検査
- MRI(MRCP)検査
- 超音波内視鏡検査(EUS)
- 内視鏡的逆行性胆膵管造影検査(ERCP)
- PET検査
検査画像
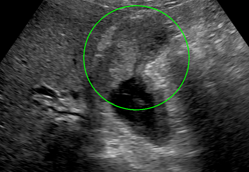
超音波内視鏡(EUS)画像
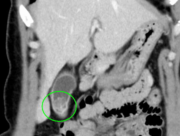
CT画像
治療
がんの切除が可能な場合は外科手術となります。さらに手術が難しい場合は化学療法(抗がん剤治療)や放射線治療を実施する場合があります。また痛みや症状の緩和を目的とした胆道ドレナージを行う場合もあります。
手術による切除
がんのある部位を切除して再建する手術です。がんの部位や進行度、周囲の臓器への浸潤があるかなどにより、様々な術式が用いられますが、がんの根治(がんをとりきる)を前提としたうえで、なるべく患者様の身体に負担が軽い手術が行われます。

術中画像
化学療法
患者様の身体の状態がすぐれない、遠隔転移がある、切除後の肝臓の機能が十分確保できないなどの理由で手術が難しい場合に化学療法を行います。
- 術後補助化学療法:術後の再発を防ぐ目的で行います
- 切除できない場合の化学療法:手術ではがんをとりきることが難しい場合や再発がんに対して行います。
免疫療法
免疫チェックポイント阻害薬であるデュルバルマブ(製品名:イミフィンジ)を用いた治療が行われる場合があります。
胆道ドレナージ
がんで胆道がつまって胆汁が流れなくなると、黄疸が出現したり、胆管炎を起こすなどから、治療を安全に進めることが難しくなることがあります。これを改善するために、胆汁を流すための処置を行う場合があります。この処置を胆道ドレナージと呼び、ステント(管)を留置して胆道を広げる方法や、チューブにより体外に出す方法があります。
当科の胆のうがん治療の特長
1.専門医によるチーム医療
がんセンター出身の経験豊富な医師がチームを組んで治療を担当しています。
2.専門資格保有医師による対応
日本肝胆膵外科学会認定高度技能専門医・指導医による診療を行います。
3.高度技能専門医 修練B 認定実績あり
日本肝胆膵外科学会より高度技能専門医修練施設Bの認定を受けた施設です。
4.難しい症例にも慎重かつ積極的に対応
当院は心臓病患者様の診療を数多く行っているため血液サラサラのお薬を飲んでいる方が数多くおいでです。また、ご高齢な方も多く、そうした患者様に対する手術の経験を豊富に有しています。施設によっては手術が難しいと判断される症例でも、慎重な検討を加えたうえで、できる限り積極的な治療を行っています。
担当医師

緒方 賢司 副院長・外科主任部長
日本外科学会 専門医・指導医
日本肝胆膵外科学会 高度技能指導医・評議員
日本消化器外科学会 専門医・指導医・消化器がん外科治療認定医
日本消化器内視鏡学会 専門医・指導医
日本胆道学会 指導医
日本緩和医療学会 指導者研修会修了者
日本がん治療認定医機構 認定医・教育医
日本DMAT隊員資格

森本 喜博 外科副部長
日本肝胆膵外科学会 高度技能専門医・評議員
日本外科学会 専門医
日本消化器外科学会 専門医・消化器がん外科治療認定医
日本消化器病学会 専門医
日本肝胆膵外科学会 評議員
日本がん治療認定医機構 認定医
日本腹部救急医学会 認定医
日本ロボット外科学会 Robo-Doc Pilot認定 国内B級
日本肝胆膵外科学会 ロボット支援肝部分切除及び外側区域切除プロクター
欧州内視鏡外科学会(EAES)会員

鈴木 文武 外科医師
日本外科学会 専門医・指導医
日本消化器外科学会 専門医・指導医・消化器がん外科治療認定医
日本肝胆膵外科学会 高度技能専門医

小林 亮介 外科医長
日本外科学会 専門医
日本肝胆膵外科学会 高度技能専門医・評議員
日本消化器外科学会 専門医・指導医・消化器がん外科治療認定医
日本消化器内視鏡学会 専門医・指導医
日本食道学会 食道科認定医
日本膵臓学会 指導医
日本内視鏡外科学会 技術認定証(消化器・一般外科)
日本がん治療認定医機構 認定医
お問い合わせ
患者様
当院外科外来にお越しください。
| 外科外来 | 月曜日~土曜日(祝日除く) |
|---|
他施設の方(患者様のご紹介ほか)
地域連携室までご連絡ください。
047-384-8564
月~金曜日 8:30-17:00/土曜日 8:30-12:30




